Sala de premsa
Resultats de la cerca
Mostrant coincidències amb:
-
El projecte transfronterer LoupO monitoritzarà óssos i llops de Pirineu
19 feb. 2020
S'inicia el projecte europeu LoupO, un pla integrat i estandarditzat per a la monitorització i el seguiment de les poblacions d'ós i llop per tal de protegir...
-
Investigadors de l'IEM-UAB faran l'edició crítica de l'Homiliari de Luculenci
12 feb. 2020
Un equip de recerca dirigit per Matthias M. Tischler, professor de recerca ICREA a l'Institut d'Estudis Medievals (IEM-UAB), durà a terme, durant els propers...
-
"Càtedra amb nom de Dona", nova exposició de la BCT
11 feb. 2020
La Biblioteca de Ciència i Tecnologia celebra el Dia Internacional de les Dones i les Nenes a la Ciència i el Dia Internacional de la Dona amb una exposició...
-
El Disseny Lab de l'Escola d'Enginyeria acull un taller sobre alfabetització algorítmica
11 feb. 2020
El taller, adreçat a professorat de secundària, ha estat impartit pel Dr. Alan Hartman, professor del Departament de Sistemes d’Informació de la Universitat...
-
El projecte "NewMob" sobre nous mitjans de transport elèctric i compartit, seleccionat pel programa BarcelonaCiència
10 feb. 2020
El projecte que dirigeix la professora del Departament de Geografia Carme Miralles-Guasch ha estat un dels seleccionats en la convocatòria, amb una dotació...
-
"És necessària una altra manera de fer justícia”
10 feb. 2020
Més humana, més empàtica i escoltant més a l’altre. Aquesta és la manera de fer justícia que es necessita perquè el sistema funcioni. Ho diu la jutgessa...
-
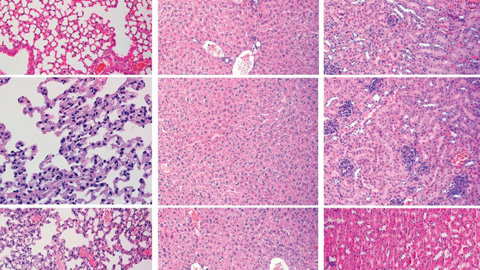
Demostren la potent activitat antimetastàsica de cossos d'inclusió bacterians que alliberen nanopartícules
10 feb. 2020
Aquesta nova forma farmacèutica, desenvolupada per investigadors de Sant Pau, la UAB i el CIBER-BBN, un cop administrada subcutàniament, allibera...
-
Un projecte sensibilitzarà sobre la interpretació per part de joves i infants en el context escolar
07 feb. 2020
El Grup de Recerca MIRAS coordina el projecte cofinançat pel programa Eramus+ "Empoderar joves intermediaris lingüístics per a la inclusió en la diversitat"...
-
El professor Jordi Fernández-Castro presenta un llibre divulgatiu sobre l'estrés
06 feb. 2020
El catedràtic de Psicologia de la UAB, Jordi Fernández-Castro, presenta el 13 de febrer l'obra "Libérate del estrés" (RBA), on dona claus per reconèixer els...
-
Jornada sobre finançament europeu en salut i infraestructures
06 feb. 2020
L’Oficina de Projectes Internacionals de Recerca organitza, el proper dimarts 18 de febrer, la jornada “Finançament europeu en Salut i Infraestructures”, a...